7月17日(木)午前8時。
京都にいる私が埼玉にいる夫にiMessageをしたところ、「左手が上がりにくい。歩こうと思うとバランスを失って倒れてしまう。」という言葉が返って来たので、これは脳に異常があると思って、すぐ病院に行くよう伝えました。
夫は呑気に考えていて、これから仕事に行くというので、「いやいや行くところが違うよ。今は急いで病院に行くほどの状態だよ。」と言って、すぐ息子に病院に連れて行くように言いました。
私の気持ちとしては、救急車で行ってほしいほどでした。
7月23日が循環器科の予約日なので、その日まで待つような雰囲気だったのです。
夫はこの状態をそんなに深刻に受け止めていないことが驚きでした。
こういう時は一刻を争うのに…。
息子は30分以内に出発して東京(板橋)の病院に向かいました。
病院に着いて、夫から先に循環器科の診察を受けて、それから脳神経内科の診察を受ける」と連絡があったので、「いやいや、先に脳神経内科を受けてください。救急科でもいいくらいなんだから。」というと、今日は脳内科のお医者さんが少ないんだって」と言います。
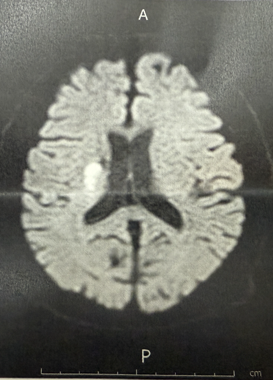
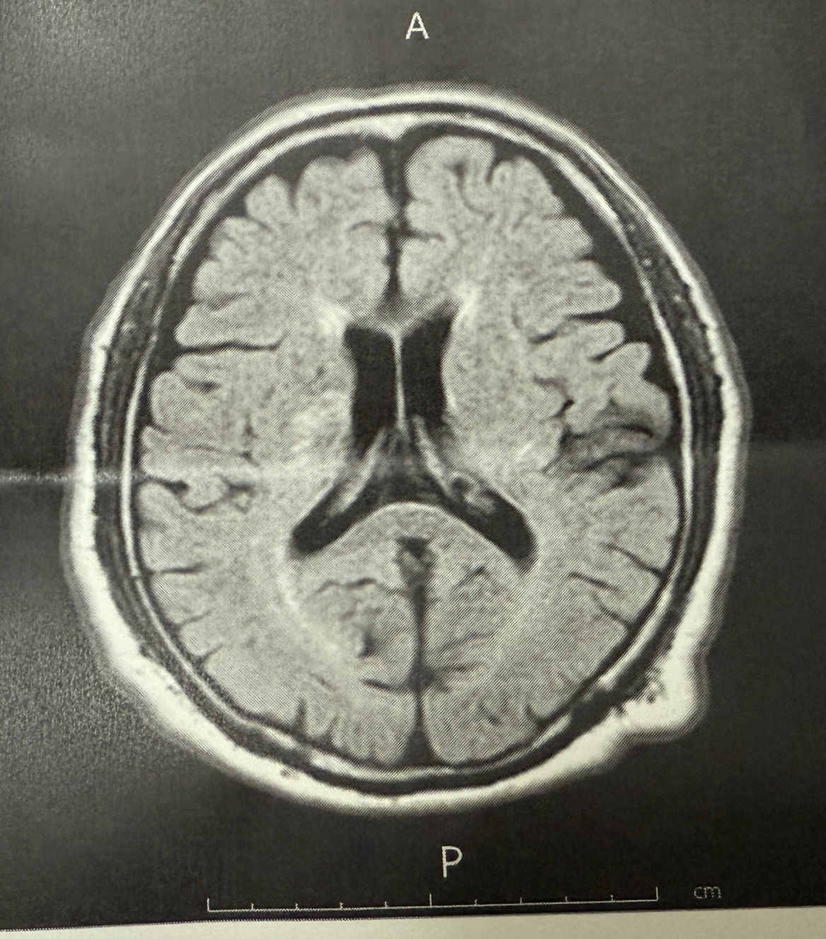
それでも、循環器科の先生が連絡を取ってくれたところ、MRIが空いていたそうで、14時半過ぎにMRI検査を受けられたそうです。
息子には16日の夜に、夫の事務所のスタッフから、「先生の話し方がおかしいから病院に行かれた方がいいと思う。」とのLINEがあったそうなので、私としては7月16日のうちに病院に連れて行けたらよかったなぁと思いました。
夫は「アテローム血栓症の脳梗塞」と診断され、2週間以内に再発する可能性があるそうです。
3か月を超えて症状が残っていると機能が戻らないうえ、このまま横ばいか、若干悪くなる可能性があるとのことなので、引き続き緊張が続きます。
症状が軽ければ1週間入院。
重ければリハビリの病院に行ってから退院になるとのことでした。
昨日(18日)私は、京都から日帰りで病院に行って来ました。
こんなときに離れ離れの場所にいると、何かと都合が悪いものです。
妻としてきちんと夫に寄り添いたいと思いますが、今後どのようになるか誰にも分かりません。
この記事を書いていたところ、夫から連絡があり、「僕は遠慮しすぎていた。我慢しすぎていた。」というので、病気に我慢は禁物だよと伝えました。
何でも耐えてしまう性格が、ことこの病気については良くない結果に結びついてしまうので、もっと素直に出してほしいと思っています。
私がXで呟いていたので、塾生さんから励ましのDMが届き、それが本当に嬉しかったです。
内容に涙が出て、ご好意に大変感謝しました。
皆さん、ありがとうございます。
まだまだ書きたいことはあるのですが、今日から3日間授業があるので、今朝はこのへんで。
















マクロ美風様
こんばんは門左衛門。です
本日はお連れ様が大変なときに私達のために授業をしてくださって、ありがとうございました。
授業の内容はもちろん、中川さんとの掛け合いも楽しかったです。
写真でしか拝見したことのなかった塾生さんたちの動く姿にもワクワク。
氣の良い場での充実した時間を過ごさせて頂き、感謝です。
皆様、大丈夫!
なるようになる、何とかなるばい!
門左衛門。さん、おはようございます。
昨日は遠くからお越しいただきまして、大変ありがとうございました。
やっとお会いできましたね\(^o^)/
よ〜くブログを読み込んでくださっていた門左衛門。さんなので、お話もツーカーと通じて、さすがでした。
昨日のことについては、別記事を書かせていただきますね。